Où sommes nous ?

Retour

Les Gets / Morzine

24 Janvier 2010

avec le ski club Sopra

Première sortie pour mes nouveaux skis Lacroix. Le soleil est quelque peu voilé et la neige souvent verglacée, suffisamment de neige en hors-piste même si la couche n'est pas très épaisse. Qu'importe, ça sera l'éclate totale surtout grâce à mes nouveaux skis.

Y'a pas à dire : de la balle ces Lacroix Premier ! Eclate totale que sur soit sur la glace, sur le trafolé ou sur le peu de peuf que nous trouverons : les dignes successeurs de mes Bandits.

Petit tour sur le domaine de Morzine.

Evidemment, l'appel du hors piste de fait sentir : nous trouverons notre bonheur dans cette combe ... heu, surtout Michel.

17 Février 2013

La journée s'était si bien passée : bonne glisse sur les pistes, excellentissime en dehors et on en a bien profité !

La journée a été excellentissime : bonne neige, plein de hors pistes, grosses éclate dans les champs de bosses et même du bon bûcheronnage sur le bas.

Mais il faut bien partir et il y a un parking pour camping-cars entre cars et la piste, alors ni une, ni deux, je contourne par une langue en glace. Sauf que sur le dernier virage, aie aie aie, il y a une aspérité dans la neige et envole du Lolo et BBBBoooouuuummm.

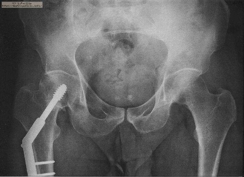
La saison est finie : fracture du col du fémur :(

Pompier, hôpital, 3 mois alités ...

25 Janvier 2015

Avec le ski club Sopra

Pèlerinage sur les lieux de l'accident ... Bon, j'ai eu beau chercher, je n'ai toujours pas compris comment j'ai pu finir sur les fesses. Sans doute à cause d'un bloc de glace poussé par le chasse-neige !

Malgré les apparences, la neige n'est pas si terrible que ça : glace sur les pistes, traffole regelée en hors-piste saupoudrée d'un peu de poudreuse qui fait qu'on ne voit pas les obstacles ... bref, c'est physique et on se fait balader (bon, ok, la fin de la dernière fois n'aide peut-être pas non plus) !

Comme d'hab, le bonheur se trouve du côté de Chamossière.

8 Mars 2015

Grand soleil pour cette sortie avec les enfants de Nonglard, avec Alice pour donner les cours : merci à elle.

Alors que tout le monde est bien fatigué, Joris et son Papa restent sur leurs planches .

5 Février 2017

Avec le ski club Sopra.

Le temps est pourri de chez pourri et il pleut même en haut.

Les gens sont à tordre, ce qui fait qu'à 11h30, tout le monde se réfugie dans un bar pour boire quelque chose de chaud, plus dans la salle hors-sac.

Alors, ça ne sera pas super super flagrant sur les photos, mais le temps est un peu mieux l'après-midi : il ne pleut plus, il ne fait que neiger.

Une petite vidéo et le tracé de la sortie.

Pèlerinage où papa a perdu son col du fémur.

21 Janvier 2018

Avec le ski club Sopra

Temps presque aussi pourri que l'année dernière : presque parce que l'année dernière, nous étions complètement trempés dès le matin ... ce coup-ci, les gants sont restés étanches presque jusqu'au repas.

La neige est en quantité, mais bien lourdes ... trop pour les ligaments de Muriel.

Les rescapés abandonneront les uns après les autres ... mais pas moi : ok, je vais avoir des courbatures un bon moment, mais les noires et leurs abords sont trop bons !

Le tracé.

3 Janvier 2020

Sortie en famille
Le tracé.

Même si les pistes sont en mode durail bien verglacées, les hors-pistes sont par endroit bien plaisant.

Cependant, il faut bien avouer que c'est loin d'être transcendant lorsqu'on descend jusqu'à Morzine.

Mais c'est bien le seul coin nazos.

15 Février 2026

Le tracé43.18 km pour 5258 m

(on a vraiment trop trainé à mon goût)

Je suis maudit avec cette station : ça commence par mon casque écrasé sous la voiture, et, arrivé à la station, une queue pas possible à l'unique télésiège ... ça cause l'anglais, l'allemand et des touristes de toute la France. C'est rare d'avoir à faire autant la queue, quelle que soit la remontée. Le pire étant Perrière Express, avec une queue disque des stations américaine et où nous avons quand même perdu plus de 30 minutes !

La météo annonçait une matinée moyenne et une après midi perturbée ... ce fût l'inverse : matinée avec des nuages bien accrochés aux sommets et vers les 11h, de plus en plus de trouées pour une visibilité plus que suffisante.

La neige quant à elle, est mouillée, voire cassante sur le bas, mais avec une super glisse : Bref, on a bien fait d'y aller et je m'y suis vraiment éclaté !


Visitez :
La liste de nos voyages
Nos sorties Ski et rando
Copyright Laurent Faillie 2001-2026
N'oubliez pas d'entrer le mot de passe pour voir aussi les photos perso.
Contactez moi si vous souhaitez réutiliser ces photos et pour les obtenir avec une plus grande résolution.
Visites durant les 7 derniers jours Nombre de visites au total.

Vous pouvez laissez un commentaire sur cette page.